Preventive Orthodontics
兒童早期牙齒矯正
口顎肌功能矯正Myofunctional Orthodontics
早期肌功能矯正概念是利用孩子7-12歲黃金發育期順勢調整出一個好的口腔環境框架,排除口腔周圍唇舌肌肉的干擾和壓迫,藉以引導我們的牙床牙弓能自然生長擴張,並將上下顎骨架重新引導到正確的相對位置。
MRC功能性矯正器是一種特殊設計的口腔肌肉訓練牙托,寶貝們最小可先從5歲開始,以『輕度的力量』幫助牙齒的排列和牙弓的擴張,戒除口呼吸和訓練舌頭正確的擺放位置,並培養正確的吞嚥方式和養成正確鼻呼吸習慣。
此外,孩子可依據不同年齡層,搭配相關系列「口唇肌肉訓練」課程,引導臉部與牙弓自然生長,藉以達到口臉部塑形效果,改善上下顎骨生長異常,以及解決換牙空間不足等問題,達到每個孩子生長發育的理想狀態。
MRC牙套是在做什麼用的?
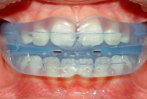
MRC 功能性矯正器
MRC矯正治療最適合5至18歲的兒童與青少年,是在藉由教孩子通過鼻子呼吸,正確地將舌頭放在口頂,訓練正確吞嚥並戒除口呼吸,來解決這些不正確的口腔肌肉功能習慣。這樣可以為牙齒創造出足夠的空間,使牙齒自然改善排列。
MRC功能性矯正器特點
體積小 清潔容易
材料是高彈性矽膠,體積小,容易清潔。
簡便實用
能簡單方便地隨時配戴和取下。
穩定改善
改善兒童不良口腔習慣和牙齒不正的根本原因。
配戴舒適
柔軟外圍矽膠讓孩子配戴更能適應。
無須24小時配戴
每日白天須至少配戴2小時,以及睡覺時全程配戴。
改善全身健康
改善不良口腔習慣,讓孩子使用鼻子呼吸,過濾有害細菌,減少氣喘和過敏的發生。





