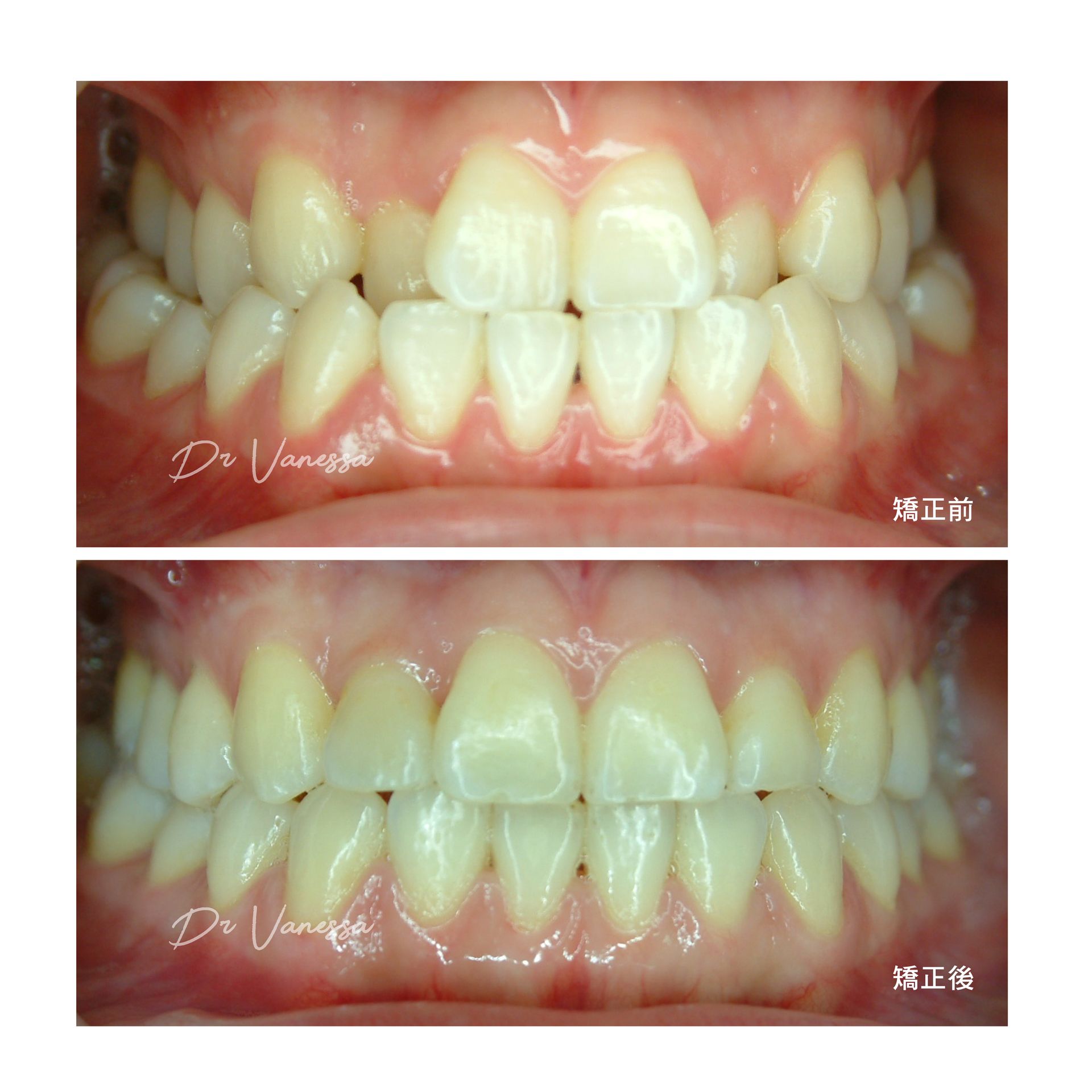
戽 斗Crossbite
門牙錯咬 & 牙床歪斜
矯正成果分享:
H弟弟聰明活潑,但是一口歪歪的「剪刀牙」常常嚇到爸媽和同學呀?!門牙錯咬(反咬)不但不美觀,讓弟弟吃飯咀嚼也特別慢又費力,難怪爸媽趕緊帶他來做牙齒矯正調整!
經過齒顎矯正牙套的治療之後,弟弟的「剪刀牙」已經完全改善了,不但看到了一口排列整齊的齒列,他更很開心的說:「沒有歪歪醜醜的剪刀牙,我終於可以好好吃東西了!」
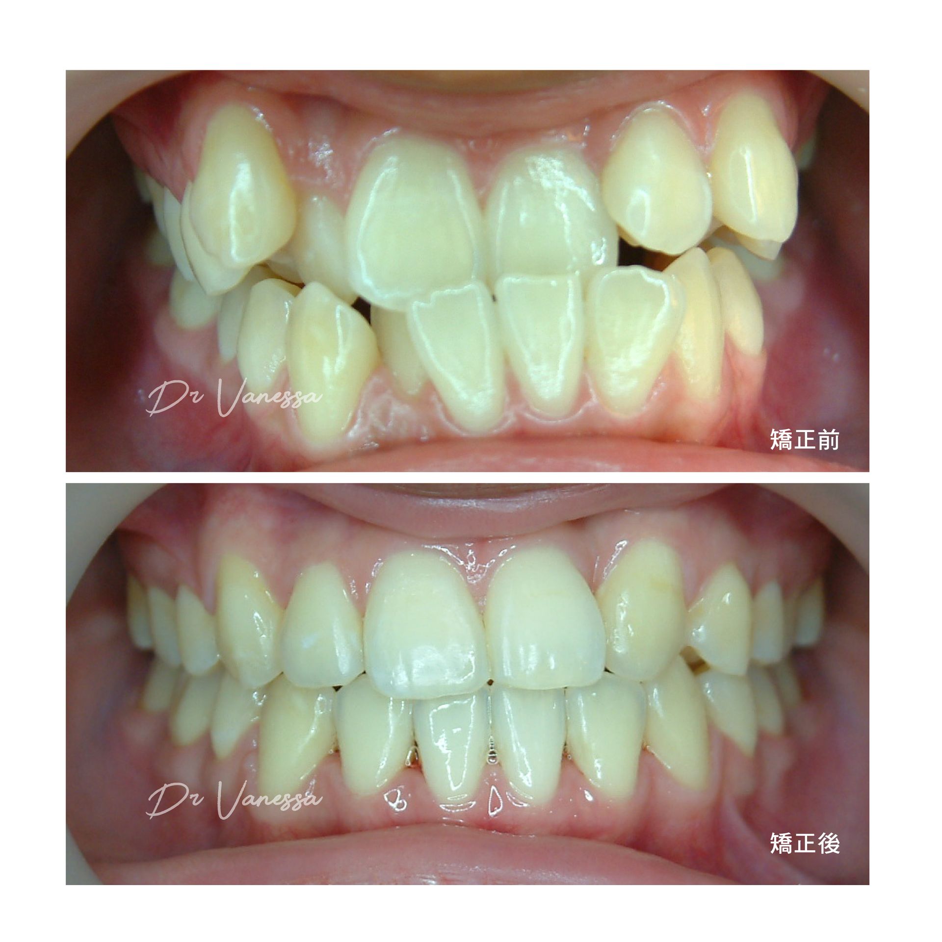
牙齒擁擠 & 戽斗臉型
矯正成果分享:
L小姐有亮麗立體的臉蛋,但是一口大亂牙總是讓她活潑的她不敢盡情的開懷大笑⋯
選擇開始戴牙套是她人生的轉捩點,看著牙齒一天天的改變,她的心情也跟著明亮起來呢!矯正整牙完成後,一口整齊亮麗的笑容,讓她整個整個人都煥然一新,連原本戽斗的臉型也明顯改善,變得更加立體有型!
現在她的笑容就像她的個性一樣燦爛開朗了,她很開心的分享,整牙就是整頓人生啊!。














