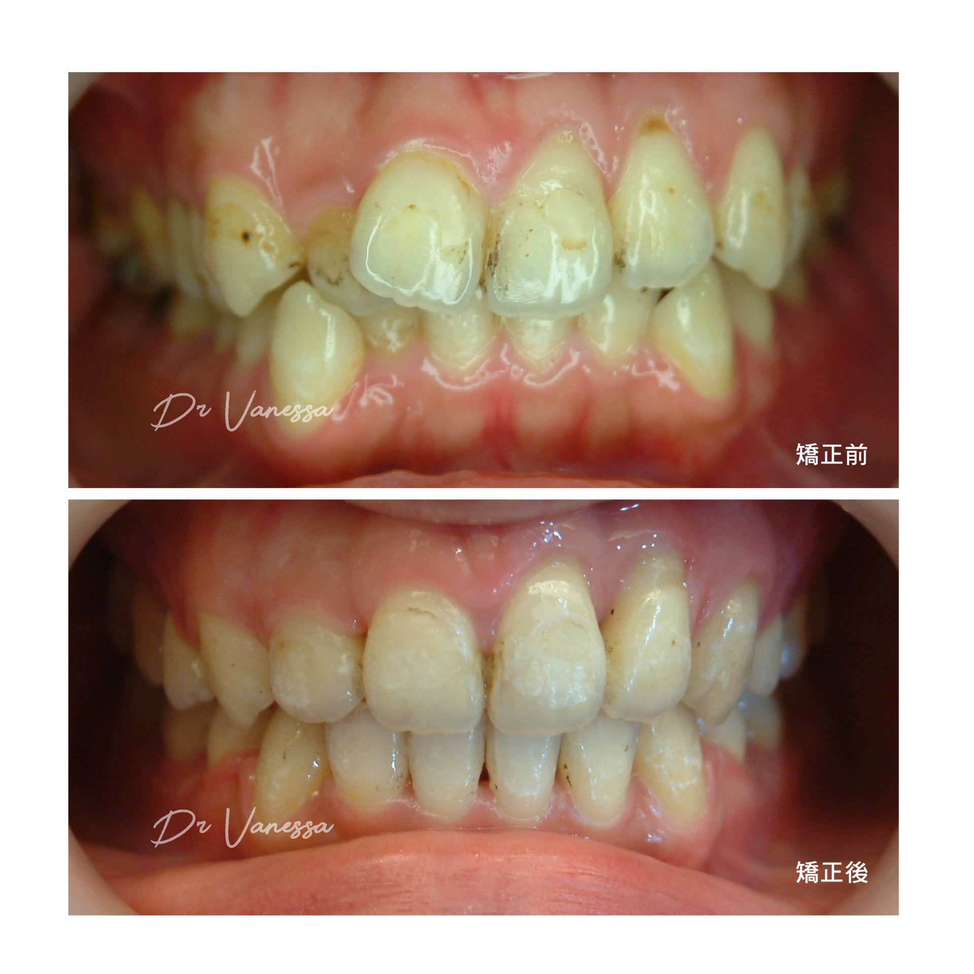
牙齒擁擠Overcrowded

門牙擁擠外斜 & 難清潔易蛀牙

矯正成果分享:

W小姐因為牙齒排列亂清潔不易,常有蛀牙和牙齒染色的問題⋯⋯經過齒列矯正治療之後,不但齒列變得整齊乾淨,更能減少蛀牙的機率!她很開心的分享,齒顎矯正真的讓她美麗與健康全都一次到位呢!

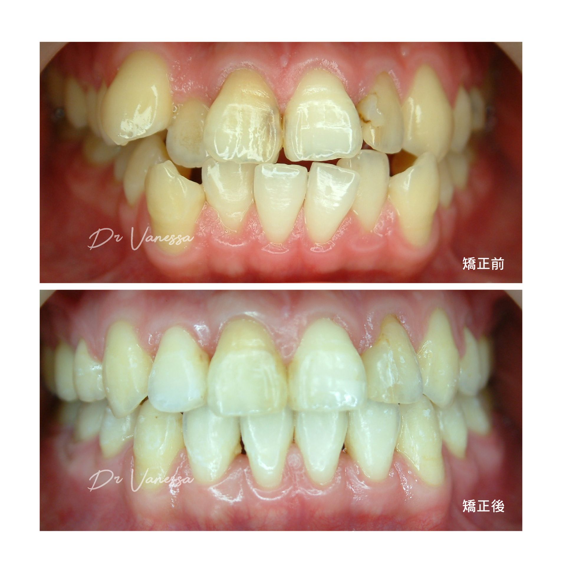
側門牙內凹 & 虎牙外暴

矯正成果分享:

陽光青年 H先生長期因為牙齒亂而困擾,經過齒列矯正之後,不但門牙排整齊,笑容看起來更乾淨亮白!整個微笑曲線也自然展開,笑容看起來是不是更有自信呢?

虎牙外暴 & 門牙交錯空咬

矯正成果分享:

H小姐一直不喜歡她上下不乖外突的虎牙,常會一直咬到嘴唇呀⋯⋯自從做矯正把牙齒歸位後,不但尷尬的虎牙不見了,更明顯改善了原先前突戽斗的下巴!!

臉型和齒列笑容全部煥然一新,難怪她說做牙齒矯正是對自己最好的投資呢!

暴牙Protruded teeth
By dentshine168 October 16, 2024
暴牙Protruded teeth
戽 斗Crossbite
By dentshine168 October 16, 2024
戽 斗Crossbite
牙縫過大Gapped teeth
By dentshine168 October 16, 2024
牙縫過大Gapped teeth
開咬矯正Open-bite
By dentshine168 October 16, 2024
開咬矯正Open-bite
Deep-bite
By dentshine168 October 16, 2024
深咬矯正Deep-bite
兒童隱適美矯正Invisalign First
By dentshine168 October 16, 2024
兒童隱適美矯正Invisalign First
兒童肌功能矯正Myofunctional Orthodontics
By dentshine168 October 16, 2024
兒童肌功能矯正Myofunctional Orthodontics