暴牙Protruded teeth

門牙前後不齊 & 暴牙臉型

矯正成果分享:

L小姐有一張小巧甜美的臉蛋,但是從小唯獨就有暴暴外突的門牙,讓她覺得美中不足!她下定決心,經過二年的齒列矯正把暴牙內收排齊後,不但嘴唇可以輕鬆閉起來,整個輪廓嘴型也都變得更清秀!
這樣的舒服迷人笑容就是她想要的,你也這樣覺得嗎?

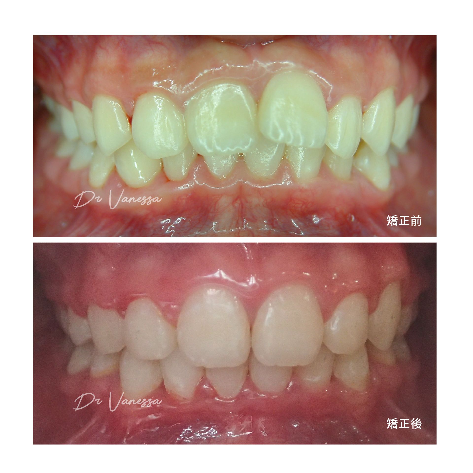
門牙嚴重重疊 & 暴牙臉型

矯正成果分享:

H小姐是個清秀的少女,但是兩顆明顯外凸的「兔寶寶牙」,總讓她笑起來覺得好尷尬⋯⋯聰明的她,決定使用齒顎矯正的魔法來解決這個問題啊!
變~變~變~矯正果真讓她女大十八變,把兔寶寶牙內收排整齊之後,整個笑容弧度都亮麗起來,暴牙的嘟嘟嘴也都改善了呀!家人朋友都說,傑克~這真是太神奇了呀!?!

門牙歪斜 & 暴牙臉型

矯正成果分享:

H小姐是一個氣質OL, 雖有清秀五官的陪襯,但她很不喜歡自己的側面輪廓,尤其外突暴暴的嘴型和臉型!所以,她決定做齒顎矯正來打造一個全新的自己,經過二年多矯正的努力改造調整之後,不但得到一口氣質滿點的微笑曲線,最讓她滿意的,是原本外凸的嘴臉型竟然完全改善了!!現在清秀平順的側臉讓她的氣質大大加分,五官輪廓更顯得立體而有型,真的是華麗大轉身呢!

牙齒擁擠Overcrowded
By dentshine168 October 16, 2024
牙齒擁擠Overcrowded
戽 斗Crossbite
By dentshine168 October 16, 2024
戽 斗Crossbite
牙縫過大Gapped teeth
By dentshine168 October 16, 2024
牙縫過大Gapped teeth
開咬矯正Open-bite
By dentshine168 October 16, 2024
開咬矯正Open-bite
Deep-bite
By dentshine168 October 16, 2024
深咬矯正Deep-bite
兒童隱適美矯正Invisalign First
By dentshine168 October 16, 2024
兒童隱適美矯正Invisalign First
兒童肌功能矯正Myofunctional Orthodontics
By dentshine168 October 16, 2024
兒童肌功能矯正Myofunctional Orthodontics