兒童肌功能矯正

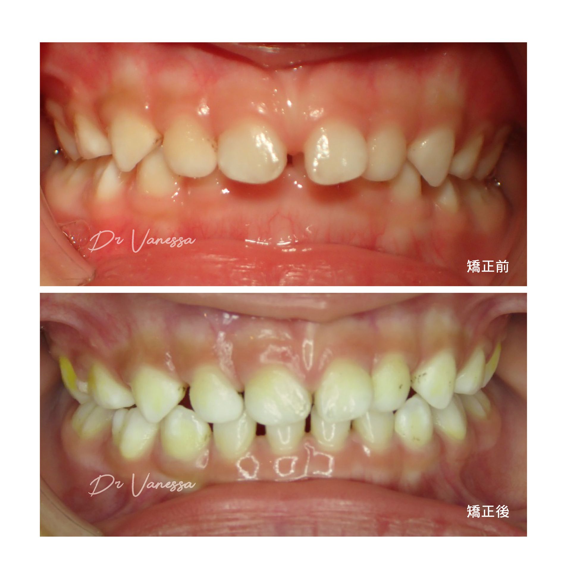
長牙障礙+排列不齊

矯正成果分享:

J妹妹7-8歲時,因為換牙期發現一顆大門牙外突,媽媽趕緊帶她來接受早期矯正治療。幸而此時正是長牙交接時期,妹妹的齒槽顎骨還軟也還有調整的可塑性,只要夜間配戴肌功能矯正矽膠牙套,在短短7-8個月就得到很好的齒列調整效果;現在妹妹開心可愛的笑容,就是爸媽最好的禮物囉!

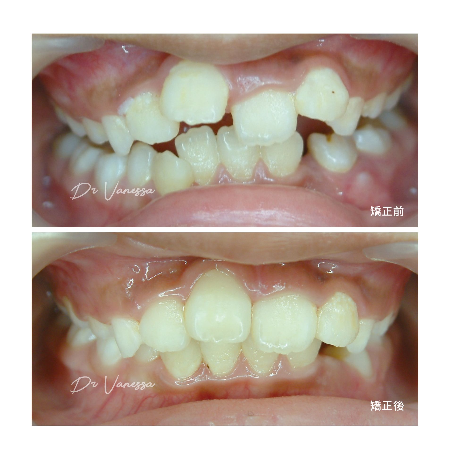
門牙深咬+開縫

矯正成果分享:

爸媽發現C弟弟從雖是小小的乳牙,牙縫卻特別的大,而且上門牙過長也常咬到下嘴唇,常痛到不想吃飯。經過兒童矯正醫師的診斷建議,讓他配戴肌功能矯正矽膠牙套,搭配口腔肌肉功能訓練來矯正骨架齒列,經過一年的配合治療,C弟弟不但齒列咬合大幅改善,吃東西的速度更是進步不少!現在弟弟能開心大吃大玩,ㄧ定能頭好壯壯健康長大的!

長牙障礙+骨架歪斜

矯正成果分享:

有看過因為上下恆齒長歪互相卡住,而造成臉型長歪嗎?H妹妹就是這樣的情況!
咬合歪斜讓妹妹吃得少也吃得慢,媽媽更希望能早期改善臉歪問題,所以讓她即時配戴肌功能矯正矽膠牙套!
經過H妹妹的配合努力,搭配口腔肌肉功能訓練,不但成功引導恆牙順利整齊長出,臉型下巴更是調整得愈來愈正囉!小美女經過齒型和臉型的矯正調整,真的是醜小鴨變天鵝了呀!

牙齒擁擠Overcrowded
By dentshine168 October 16, 2024
牙齒擁擠Overcrowded
暴牙Protruded teeth
By dentshine168 October 16, 2024
暴牙Protruded teeth
戽 斗Crossbite
By dentshine168 October 16, 2024
戽 斗Crossbite
牙縫過大Gapped teeth
By dentshine168 October 16, 2024
牙縫過大Gapped teeth
開咬矯正Open-bite
By dentshine168 October 16, 2024
開咬矯正Open-bite
Deep-bite
By dentshine168 October 16, 2024
深咬矯正Deep-bite
兒童隱適美矯正Invisalign First
By dentshine168 October 16, 2024
兒童隱適美矯正Invisalign First