兒童隱適美矯正
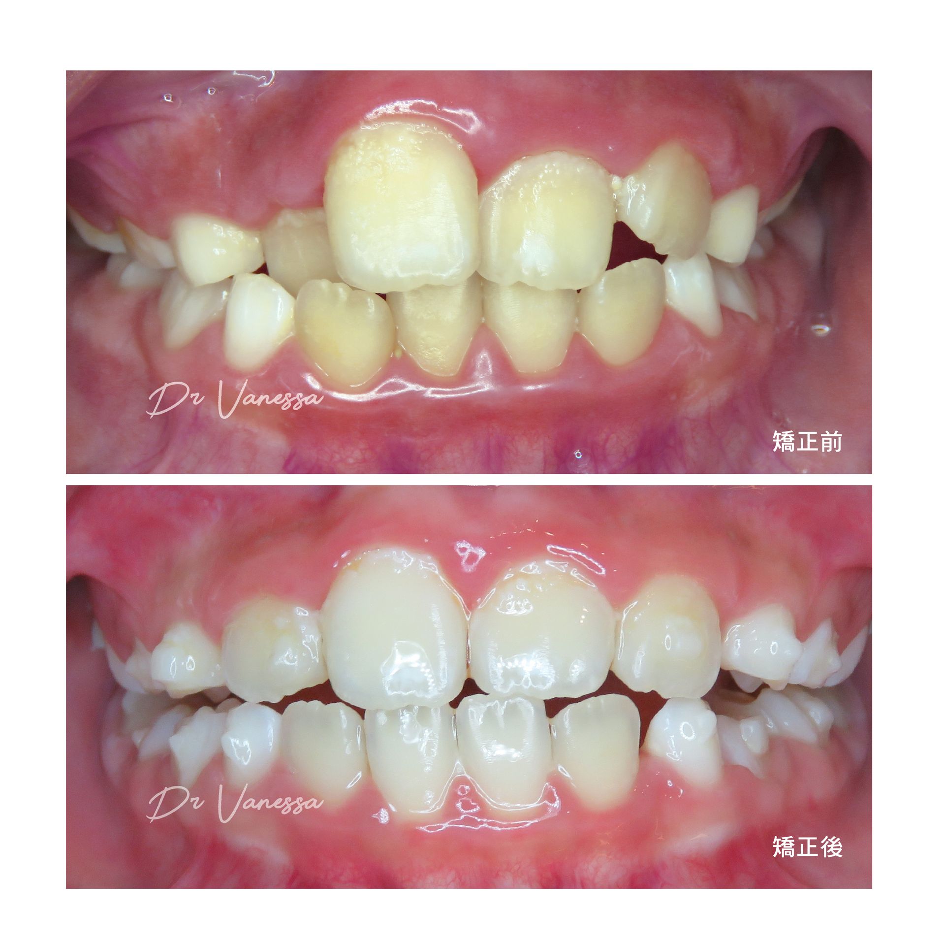
門牙暴牙+排列歪斜(早期矯正)
矯正成果分享:
H弟弟有兩顆歪斜的兔寶寶門牙,一直讓他覺得很窘不敢笑,歪斜的牙齒更是難刷乾淨⋯⋯本來因為怕痛不敢矯正牙齒,醫師建議讓他可戴方便隱適美兒童牙套,牙套透明舒適美觀又方便,就不用戴著大鋼牙矯正器了!短短一年多,他的大門牙完全歸位排整齊,刷牙清潔沒有死角,也不容易再蛀牙了;現在小哥哥對自己更有自信,上台說唱表演都難不倒他了!
門牙錯咬+咬合干擾(早期矯正)
矯正成果分享:
為什麼我的上下排門牙咬到時常會打架呢? L弟弟向外突錯咬的下門牙,吃飯時一直很困擾他⋯⋯ 幸好媽媽趕緊讓他戴上早期矯正牙套,配合骨架和齒型的調整之後,不但他突突的下門牙往後縮了,戽斗的臉型也明顯改善了!及早做完早期牙齒矯正後,現在弟弟吃飯咀嚼再也沒問題,臉型矯正後更變身自信小帥哥,青春時期更能專心讀書 開心玩樂,再也沒後顧之憂了!
上顎暴牙+下顎發育不足(早期矯正+骨型矯正)
矯正成果分享:
L妹妹這位10歲的小美女有大眼睛和鵝蛋臉,但美中不足的是,牙齒都很不乖的亂亂排,加上後縮的小下巴,讓突突的門牙更加明顯 ⋯幸好她即時戴上隱適美青少年牙套,配合牙套特殊設計的下顎前導用隱形小翅膀,矯正後不但把門牙排整齊,更成功地向前拉出小下巴 ,讓臉型更立體呀!現在的她整個華麗大轉身,整齊漂亮的前牙微笑線,讓她每個笑容都是滿滿的開心自信囉!














