牙縫過大Gapped teeth
上下門牙多處開縫
矯正成果分享:
人家說門牙有牙縫會漏財,那全口都是牙縫怎麼辦?!C先生因為牙齒比例比較偏小,所以天生就很多黑黑的小牙縫,不但不好看,牙縫中更容易塞食物不好清潔。
他決心利用牙齒矯正把所有問題一次解決,而經過他和醫師的共同努力,得到了超成功的治療結果!牙縫全部不見了,齒列變成整齊又乾淨,更棒的是刷牙清潔變得好容易,再也不用擔心蛀牙的問題了!他都笑稱牙套矯正真是CP值最高的投資啊!
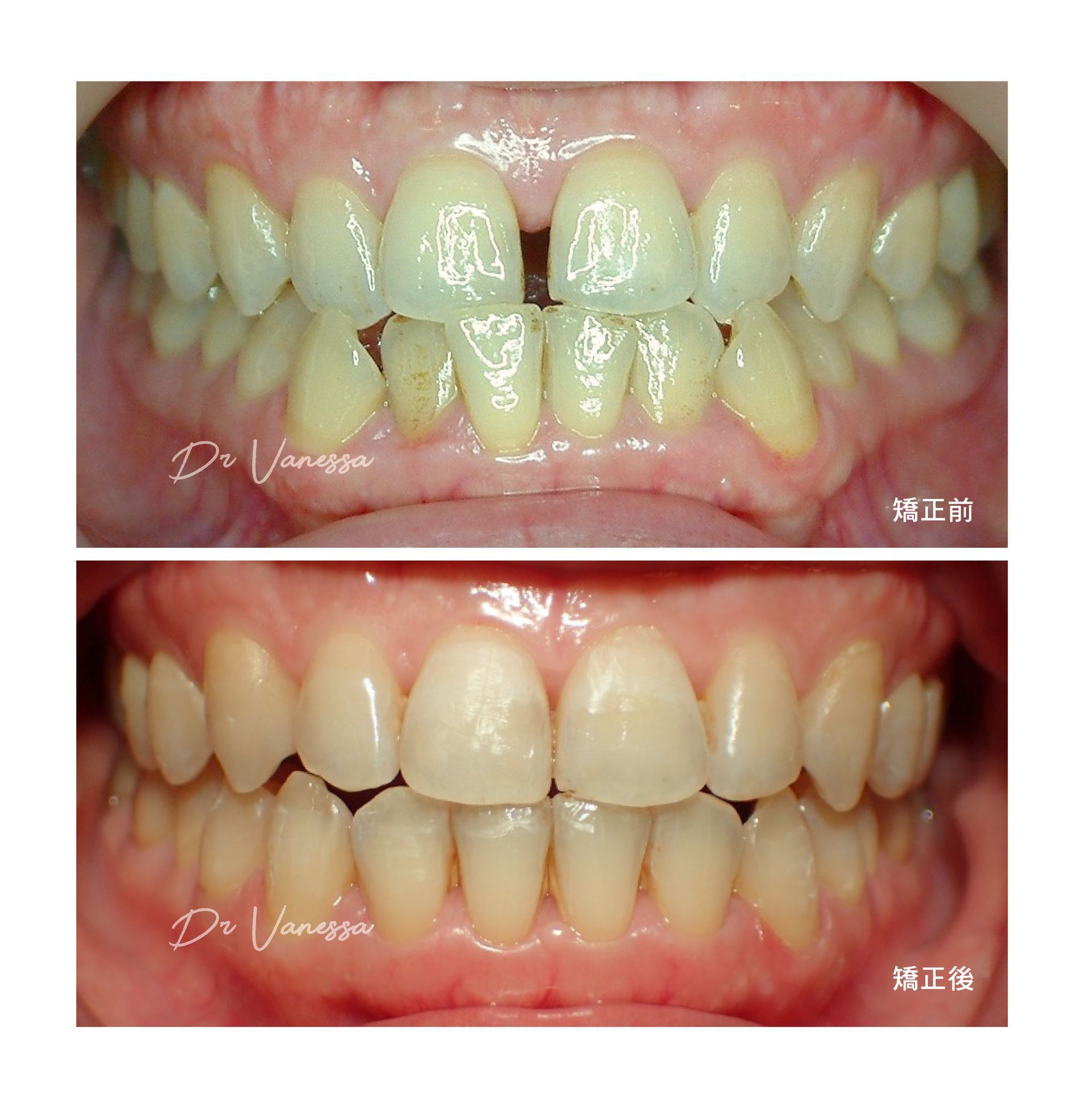
門牙開縫 & 下排牙齒錯咬
矯正成果分享:
H小姐是專業的英文教師,流利的口語教學是她的專業,但是牙齒亂亂又有門牙開縫,是她一直覺得美中不足的地方,終於她選擇用隱適美隱形牙套來改善。
她在隱型矯正期間,不但完全不影響英語發音教學,也能維持整潔的門面形象;矯正完成後,更是讓齒列完全整齊漂亮且牙縫消失,專業自信的形象更加UpUp!全臉笑容形象的矯正改造,絕對是專業人士提升自我最佳選擇哦!!














