開咬矯正Open-bite

門牙開咬 & 暴牙臉型

矯正成果分享:

C小姐一直不喜歡吃麵⋯不是麵條不好吃,是因為她原本的門牙根本咬不斷麵條呀!還好她做完牙齒矯正之後,不但把門牙調回到正常的咬合位置,更讓原本暴牙大大的改善!現在有一口整齊健康的牙齒,她可以盡情開心吃喝了,而沒有後顧之憂囉!

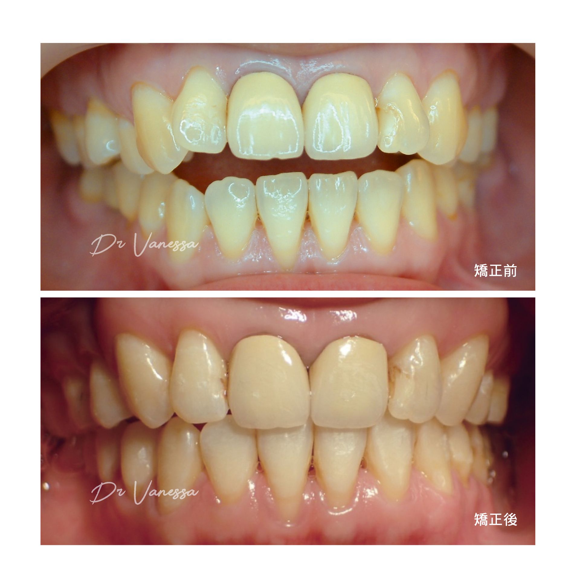
門牙開咬 & 暴牙臉型

矯正成果分享:

W小姐原本上下門牙開縫大,不但吃飯和講話常會有困擾,更常覺得嘴唇嘟嘟閉合不起來⋯⋯她選擇戴矯正牙套來解決所有的問題,而且經過兩年的耐心配合,開咬和暴牙的問題全部都一次解決了!現在的她看起來亮麗又有自信,姐姐矯正的可不只是牙齒,而是整個生活態度啊!!

門牙空咬 & 戽斗臉型

矯正成果分享:

C小姐從小就有戽斗和臉型歪斜的問題,也經大醫院牙科建議要做削骨的正顎手術,但她不想做手術,只想用矯正來改善齒顎咬合。最後,她來醫師門診諮詢後選擇用隱適美牙套,全程的數位模擬計劃讓她更放心。經過二年多的努力配合治療,不但讓她前突的下門牙後縮,更讓她戽斗歪斜的臉型和下巴全都明顯改善了!

傑克,這真是太神奇了!不用手術開刀,只用輕鬆的牙套矯正就能讓改善戽斗臉型,C小姐真的覺得整牙給了她一個全新的人生呢!

牙齒擁擠Overcrowded
By dentshine168 October 16, 2024
牙齒擁擠Overcrowded
暴牙Protruded teeth
By dentshine168 October 16, 2024
暴牙Protruded teeth
戽 斗Crossbite
By dentshine168 October 16, 2024
戽 斗Crossbite
牙縫過大Gapped teeth
By dentshine168 October 16, 2024
牙縫過大Gapped teeth
Deep-bite
By dentshine168 October 16, 2024
深咬矯正Deep-bite
兒童隱適美矯正Invisalign First
By dentshine168 October 16, 2024
兒童隱適美矯正Invisalign First
兒童肌功能矯正Myofunctional Orthodontics
By dentshine168 October 16, 2024
兒童肌功能矯正Myofunctional Orthodontics