深咬矯正Deep-bite
門牙嚴重深咬 & 開縫
矯正成果分享:
S先生是德國來台灣從事貿易的外商公司主管,但是他的門牙的大牙縫,以及上門牙常咬到下嘴唇的深咬問題,常讓他面對客戶溝通時常有顧慮。
所以他選擇用隱適美隱形牙套,成功地把牙縫關起來;更棒的是在矯正期間牙套舒適又美觀,完全不影響他的事業交際和社交生活!牙齒矯正之後讓他重拾一口帥氣的笑容,在專業形象和人緣方面都更加分了呢!
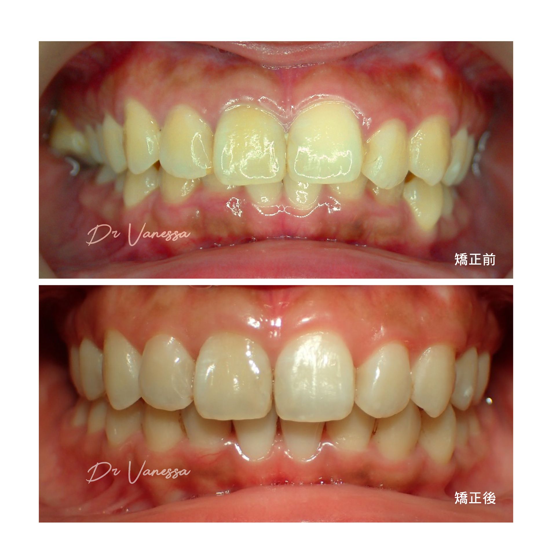
門牙深咬 & 歪斜
矯正成果分享:
門牙歪斜加上咬合不正,應該會讓很多人不敢開懷大笑吧?F小姐就是這樣的例子!她一直覺得心裡很在意,直到她找到最好的解決方式,就是決心好好專心用一兩年的時間把門牙齒列矯正好。經過醫師精心的牙齒調整,不但門牙深咬的問題已完全改善,更因爲用隱形牙套成功的塑形牙弓,所以門牙調出的角度,連朋友都覺得很整齊漂亮啊!現在開朗自信的笑容就是她的最佳名片囉!














